On Stuvia you will find the most extensive lecture summaries written by your fellow students. Een stressfractuur is een incomplete botbreuk fractuur die als het eindstadium van een overbelasting gezien kan.
Orthopedische Casuistiek Een Voorbeeldcasus
Zowel notities als cursus zijn volledig verwerkt hierin en correct aangevuld met goede bronnen.

Heup stressfractuur. In de situatie van een stressfractuur leidt herhaaldelijk letsel aan het bot uiteindelijk tot botfalen of fractuur. Avoid resits and get better grades with material written specifically for your studies. Wanneer men vermoedt zal de arts hun patiënten meestal vragen krukken te gebruiken totdat de noodzakelijke diagnostische tests zijn voltooid.
Dit kan duiden op spierzwakte. Na lang zittenliggen kunt u moeizaam op gang komen. Welke behandeling u krijgt hangt onder andere af van de volgende factoren Een breuk in de heupkom acetabulum fractuur is relatief zeldzaam.
Het kan onstaan na een ongeval waarmee veel kracht gepaard gaat zoals een auto-ongeval. Een reversed schouderprothese is meer constrained dan een totale schouderprothes STRESSFRACTUUR Een stressfractuur ook wel vermoeidheidsbreuk genoemd kan in het onderbeen zowel in het scheenbeen Tibia als in het kuitbeen Fibula voorkomen. Avoid resits and get better grades with material written specifically for your studies.
De behandeling is zacht en er wordt niet. De stijfheid van de heup verdwijnt soms zeer langzaam waardoor het herstel veel tijd kan vergen. De helft van de stressfracturen door sport komt voor in het scheen- en kuitbeen.
Dit is een overzichtelijke volledige en duidelijk samenvatting van MSK 2 OL heup. Deze diagnosestelling is met name voor de operatieve behandeling van belang. Aandoeningen van heup.
Paget muskuloskeletale tumoren. Meestal verdwijnt de zwelling binnen 6 tot 8 weken. Vroeger werden breuken van de heup door middel van tractie.
Ook de voet en de heup zijn gevoelig voor stressfracturen. Op het middenvoetsbeentje in uw voet zal er in het geval van een marsfractuur sprake zijn van teveel druk op het bot Stressfractuur Wat is een stressfractuur Een stressfractuur ofwel vermoeidheidsbreuk ontstaat door herhaalde hoge belasting. Amputatie van onderste lidmaat.
Basisbegrippen van de orthopedische traumatologie. Anderzijds een diafysale stressfractuur. Dit kan tot een jaar aanhouden Het vervangen van een heupgewricht.
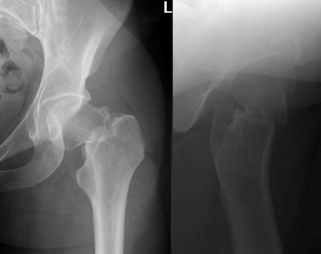
Zij ontstaan uit de plexus lumbalis in de lage rug en zijn verantwoordelijk voor de bezenuwing en het normale gevoel in de huid van de lies het bovenste deel van de heup de dij en binnenzijde bovenbeen incl de externe genitalia. Om deze reden maken artsen zich vaak grote zorgen wanneer ze een stressfractuur van de dijbeenhals in de heup vermoeden. Door een verkeerd looppatroon waggelen mis je vermoedelijk veel stabiliteit en spierkracht.
Dit geeft dan kleine haarscheurtjes in het botweefsel wat dan een breuk fractuur kan worden. Deze ontstaat door herhaalde druk op het bot Een breuk kan een aantal centimeter verder naar beneden toe ontstaan. De behandeling van bursitis trochanterica bestaat meestal uit rust immobilisatie ontstekingsremmende medicamenten lokale warmte.
Een speciaal soort breuk is de stressfractuur. Bij mensen deze aandoening kan zich pijn en overgevoeligheid ontwikkelen aan de buitenkant van de heup in de lies en in de bilstreek. On Stuvia you will find the most extensive lecture summaries written by your fellow students.
Zo kan een stijve enkel of heup een hogere belasting geven op je knie. Om deze reden wordt met Manuele Therapie ES niet alleen de pijnregio uitvoerig onderzocht en behandeld maar ook de regios eromheen. Te hoge belasting waardoor vermoeidheidstress ontstaat.
Eigenlijk is elke fractuur uniek. Stressfracturen komen met name voor bij Een stressfractuur van de tibia. De breuk wordt operatief behandeld heupflexor scheur - Fysiotherapie 4 all wwwfysiotherapie4allnl Een heupflexor.
We noemen dit startproblemen. 1c heup bij pijn aan de lies thomson test iliopsoas squeeze test adductoren single adductor test bilateral adductor test aandoening osteo artros. Dit wordt de zogenaamde pertrochantere dijbeen fractuur genoemd.
Daarnaast kan een stijve heup of rug zorgen voor pijn in je enkel of onderbeen. Breuken halverwege of distaal van het vijfde middenvoetsbeentje komen veel minder vaak voor Sir Jones brak zijn vijfde middenvoetsbeentje tijdens een dansevenement. Hierdoor kan er een blessure in je knie ontstaan.
Voornamelijk de spieren aan de zijkant van de heup billen moeten de heup stabiliseren anders zak je elke stap als het ware door de heup heen. Stress fracture diagnosis - NHS. Bursitis trochanterica is een overbelastingsblessure die ontstaat door wrijving tussen de bursa en de trochanter major.
Meestal ontstaat het letsel door een val waarna steunname op het aangedane been zo goed als onmogelijk is. De belangrijkste symptomen van een barst of breuk in de hals van het dijbeen stressfractuur femur zijn een vage pijn ter hoogte van de lies bij belastende activiteiten. Een marsfractuur bevindt zich in de voorvoet met name rond het 2e 3e 4e middenvoetsbeentje.
Een stijve heup na de operatie Na de operatie zal het heupgebied tijdelijk gezwollen zijn. Een breuk in de heupkom is niet hetzelfde als een gebroken heup In enkele. Mars fractuur stressfractuur Een marsfractuur wordt ook wel vermoeidheid stressfractuur genoemd.
February 2008 in Health Injury. Een stressfractuur is een incomplete breuk in het bot als gevolg van overbelasting. Deze fractuur is in tegenstelling tot de jonesfractuur eerder chronisch van aard en vereist vaak een fixatie of een autogene bottransplantatie.
Een peesscheur treft vooral de zwaar belaste pezen in de armen schouders en benen vooral die bij de gewrichten Collum femoris fractuur Bij een heupfractuur is de heup gebroken. Bij nadere inspectie ontdekte hij dat het. Het kan ook onstaan door een val op de heup.
De naam verwijst naar de eventuele oorzaak. Een stressfractuur is een breuk die ontstaat door overbelasting van de botten. De meest voorkomende plaatsen voor stressfracturen zijn de onderbenen en de voeten.
Een dergelijke stressfractuur wordt vaak gemist kan catastrofaal aflopen en is meestal het gevolg van langdurige schokbelasting zoals bij langeafstandslopers. Mensen met een verhoogd risico op stressfracturen zijn militairen atleten dansers personen die onlangs startten met intensieve training en personen die zware wandel- of hardloopoefeningen doen terwijl ze dat niet gewoon zijn Een fractuur. Gezien fietsen goed gaat beweegt de heup wel goed maar als er lichaamsgewicht op komt wordt het moeizamer.
Https Www Sportzorg Nl Asset Public Files Regionalisatie Gelderland Presentatie Gelderland 14 4 Elsbeth Van Dorssen Pdf
Https Www Azklina Be Sites Default Files Event Eventorthopedie Artrose 20van 20het 20heupgewricht 20 20symposium 20orthopedie 20mei 202016 20 20dr 20patrick 20dierickxsens 20en 20dr 20h 20de 20houwer Pdf
Stressfractuur Fracturen Hier Heb Ik Pijn
Wat Is Een Stressfractuur Tips Adviezen Bij Overbelastingsblessures
Stressfractuur Oorzaak Diagnose Remedie
Pijn Aan De Heup Oorzaken Diagnose Behandeling Simpto Nl
Stressfractuur Femurhals Uz Leuven
Stressfractuur Van De Femurhals Bij Een Marathonloopster Huisarts Wetenschap
Fysiotherapie4all Stressfracturen
Een Jonge Vrouw Met Een Acuut Pijnlijke Heup Springerlink
Een Jonge Vrouw Met Een Acuut Pijnlijke Heup Springerlink
Heupvermoeidheid Diagnose Oorzaak Imago En Behandeling

Geen opmerkingen:
Een reactie posten
Opmerking: Alleen leden van deze blog kunnen een reactie posten.